Rabu, 11 Feb 2026
Network
Beranda
Lifestyle
Kuliner
Otomotif
Property
Traveling
Kamu Harus Tahu
Finance
Kesehatan
Teknologi
News
Sport
Network
bacakoran.co
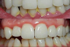
#memutihkan gigi
Cara Menghilangkan Karang Gigi Secara Alami dengan Bahan Rumahan Paling Ampuh
Lifestyle
3 bulan
Simpel dan Efektif, 6 Tips Memutihkan Gigi dengan Bahan Alami Tanpa Biaya Mahal, Yuk Terapkan Tipsnya...
Lifestyle
1 tahun
5 Tips Cara Memutihkan Gigi dengan Bahan Alami Tanpa Perlu ke Dokter, Salah Satunya Pakai Cuka, Lho Kok Bisa?
Lifestyle
1 tahun
Cara Ampuh Memutihkan Gigi dalam Waktu 1 Hari Aja, InsyaAllah Senyum Manis Berkilalu Kayak Artis Korea
Lifestyle
2 tahun
Apakah Makan Kulit Pisang Baik bagi Kesehtan? Ini 7 Manfaat Kulit Pisang dan Penjelasannya
Kesehatan
2 tahun
Jika Rahasia Ini Dibaca, Ternyata Mudah Memutihkan Gigi, Bahannya Ada di Rumah Loh
Lifestyle
2 tahun
Pilihan
Rahasia Dagangan Laris! 8 Benda Penglaris yang Sering Dipakai Pedagang, Nomor 5 Paling Dicari
Otomotif
19 menit
Battle Seru Sepeda Lipat 2026: Tern Verge X11 vs Polygon Urbano I3, Siapa Raja Satset Harian Anti Ribet?
Lifestyle
25 menit
Brooks Adrenaline GTS: Sepatu Walking Premium dengan Dukungan Ekstra untuk Wanita Aktif
Kamu Harus Tahu
46 menit
Adidas Cloudfoam Pure & Lite Racer: Sepatu Walking Ringan dan Stylish untuk Gaya Hidup Aktif
Kamu Harus Tahu
1 jam
Suzuki Carry Pick Up 2026 Resmi Hadir! Ini Spesifikasi, Kelebihan, dan Harga Terbarunya
Otomotif
1 jam