bacakoran.co

Cara Menghilangkan Karang Gigi Secara Alami dengan Bahan Rumahan Paling Ampuh

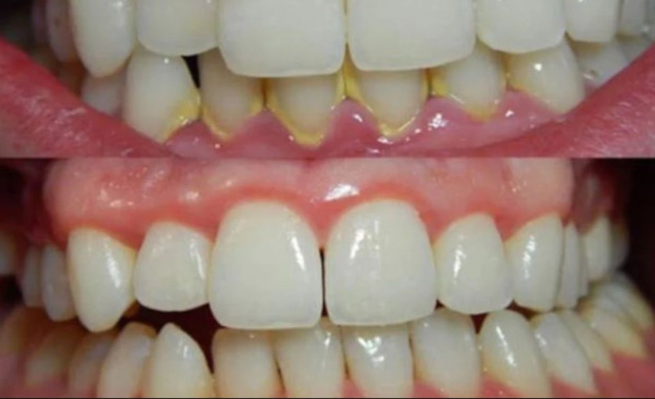
Cara menghilangkan karang gigi secara alami dengan bahan rumahan paling ampuh-Ilustrasi -

BACAKORAN.CO - Memiliki senyum yang putih, sehat, dan bersih tentu jadi impian banyak orang.

Sayangnya, banyak orang mengalami masalah karang gigi yang membuat penampilan gigi terlihat kusam, kuning, bahkan bisa menimbulkan bau mulut.

Tapi kabar baiknya, ada beberapa bahan alami rumahan yang bisa membantu mengangkat karang gigi sekaligus membuat gigi terlihat lebih putih tanpa harus ke klinik mahal.

Cara alami ini cocok untuk kamu yang ingin tampil lebih percaya diri saat tersenyum dan ngobrol, tapi tetap ingin aman, hemat, dan minim risiko bahan kimia.

BACA JUGA:Stop Pakai Pepsodent! Ini 15 Rekomendasi Pasta Gigi Halal Tanpa Afiliasi Israel yang Wajib Kamu Coba

BACA JUGA:Simpel dan Efektif, 6 Tips Memutihkan Gigi dengan Bahan Alami Tanpa Biaya Mahal, Yuk Terapkan Tipsnya...

Yuk, simak 5 bahan alami penghilang karang gigi dan pemutih alami berikut ini!

1. Baking Soda

Baking soda sudah lama dikenal efektif untuk membersihkan dan mengangkat plak gigi.

Kandungan abrasif halusnya dapat membantu memecah karang gigi yang menempel.

Cara pakai:

BACA JUGA:Yuhu! 9 Parfum Paling Rekomen di Guardians Nih, Ada yang udah di Approve Mama Gigi Lho, yang Mana ya Gais?

BACA JUGA:11 Tips Cara Alami Menghilangkan Plak Gigi Secara Permanen dari dr. Zaidul Akbar, Sekali Pakai Jadi Bersih!

Campurkan 1 sendok teh baking soda dengan sedikit air hingga menjadi pasta, lalu gosokkan perlahan ke gigi.

Gunakan 2-3 kali dalam seminggu. Jangan terlalu sering agar enamel gigi tetap aman.

2. Minyak Kelapa (Oil Pulling)

Cara Menghilangkan Karang Gigi Secara Alami dengan Bahan Rumahan Paling Ampuh

Melly

Melly


bacakoran.co - memiliki senyum yang putih, sehat, dan bersih tentu jadi impian banyak orang.

sayangnya, banyak orang mengalami masalah karang gigi yang membuat penampilan gigi terlihat kusam, kuning, bahkan bisa menimbulkan bau mulut.

tapi kabar baiknya, ada beberapa bahan alami rumahan yang bisa membantu mengangkat karang gigi sekaligus membuat gigi terlihat lebih putih tanpa harus ke klinik mahal.

cara alami ini cocok untuk kamu yang ingin tampil lebih percaya diri saat tersenyum dan ngobrol, tapi tetap ingin aman, hemat, dan minim risiko bahan kimia.

yuk, simak 5 bahan alami penghilang karang gigi dan pemutih alami berikut ini!

1. baking soda

baking soda sudah lama dikenal efektif untuk membersihkan dan mengangkat plak gigi.

kandungan abrasif halusnya dapat membantu memecah karang gigi yang menempel.

cara pakai:

campurkan 1 sendok teh baking soda dengan sedikit air hingga menjadi pasta, lalu gosokkan perlahan ke gigi.

gunakan 2-3 kali dalam seminggu. jangan terlalu sering agar enamel gigi tetap aman.

2. minyak kelapa (oil pulling)

minyak kelapa dipercaya mampu mengurangi bakteri dan mengangkat endapan plak yang memicu karang gigi.

metode oil pulling cukup populer karena membantu membersihkan rongga mulut lebih maksimal.

cara pakai:

ambil 1 sendok makan minyak kelapa, kumur selama 10-15 menit, lalu buang.

setelah itu gosok gigi seperti biasa.

lakukan setiap hari untuk hasil lebih optimal.

3. lemon

lemon mengandung vitamin c dan sifat asam yang dapat membantu mencerahkan warna gigi dan mengurangi noda kuning.

cara pakai:

campurkan sedikit perasan lemon dengan baking soda atau langsung campur dengan air hangat untuk berkumur.

lakukan 1-2 kali dalam seminggu saja untuk menghindari erosi enamel.

4. garam

garam memiliki kandungan antiseptik alami yang dapat membantu mengurangi bakteri penyebab karang gigi dan membuat gigi terasa lebih bersih.

cara pakai:

campurkan sedikit garam dengan air hangat untuk berkumur, atau campurkan dengan pasta gigi untuk menggosok gigi seperti biasa.

bisa dilakukan setiap 2-3 hari sekali.

5. teh hijau

teh hijau kaya antioksidan dan antibakteri yang dapat membantu mencegah pembentukan karang gigi baru, sekaligus membantu memutihkan dan menjaga kesehatan gusi.

cara pakai:

minum teh hijau secara rutin tanpa gula, atau gunakan air teh hijau untuk kumur setelah makan.

tips tambahan agar karang gigi tidak mudah muncul

- gosok gigi teratur 2x sehari, pagi dan malam

- gunakan benang gigi (dental floss) untuk mengangkat sisa makanan

- kurangi konsumsi kopi, teh pekat, dan rokok

- konsumsi lebih banyak buah dan sayur berserat

itulah 5 bahan alami penghilang karang gigi dan pemutih alami yang bisa kamu coba di rumah.

dengan perawatan rutin dan penggunaan bahan alami ini, kamu bisa mendapatkan senyum lebih cerah, gigi lebih bersih, serta rasa percaya diri yang lebih tinggi tanpa keluar banyak biaya.

namun perlu diingat, jika karang gigi sudah terlalu menumpuk dan membandel, sebaiknya tetap konsultasi ke dokter gigi untuk perawatan profesional.

cara alami ini sangat membantu sebagai pencegahan dan perawatan rutin di rumah.

senyum lebih cerah kini bisa kamu dapatkan dari rumah!

mau tips tambahan untuk pemutihan gigi dengan metode diet dan minuman yang aman?

Tag
Share